Interventionelle Kardiologie

Mit individueller Anwendung aller modernen bildgebenden Verfahren.

mehr ...
Teamarbeit

In der Kardiologie führen wir unsere Prozeduren Hand in Hand durch

zum Team
Rhythmuszentrum

Wir behandeln alle Arten von Herzrhythmusstörungen.

Elektrophysiologie
Herzschrittmacher

Wir implantieren alle Arten von modernen Herzsschrittmacher-Systemen und Devices.

Herzrhythmusstörungen

 

Schrittmacher und implantierbare Defibrillatoren

Zur Behandlung von Herzrhythmusstörungen steht Ihnen in der Medizinischen Klinik II des Städtischen Klinikums Köln-Merheim ein umfassendes Spektrum modernster Therapie und Diagnostik zur Verfügung. In unseren modernen Herzkatheter-Laboren werden unter Führung eines erfahrenen Ärzteteams alle aktuellen Therapieverfahren angeboten.

Allgemein unterscheidet man in der Rhythmologie zwischen bradykarden und tachykarden Herzrhythmusstörungen. Eine Bradykardie ist definiert als eine anhaltend langsame Herzfrequenz von < 60/min. Sie beruht auf einer Fehlfunktion der Reizbildung bzw. einer gestörten Erregungsleitung. Neben Schwindel gelten Ohnmachtsanfälle (Synkopen), Luftnot und Zeichen einer Herzschwäche als klassische Symptome einer bradykarden Rhythmusstörung.

Als tachykarde Herzrhythmusstörungen bezeichnet man ein gestörtes Frequenzmuster >100/min. Häufig wird Herzrasen und ein unregelmäßiger, schneller Puls bemerkt. Man unterscheidet hier den Ursprungsort innerhalb des Herzens. Liegt der Entstehungsort in der Herzkammer, wird von ventrikulären Herzrhythmusstörungen gesprochen. Anhaltende ventrikuläre Tachykardien stellen eine potenziell akut lebensbedrohliche Erkrankung dar, die zum plötzlichen Herztod führen kann.

Neben der Implantation von 1- und 2-Kammer-Herzschrittmachern und Defibrillatoren bieten wir auch die Implantation sondenloser Mini-Herzschrittmacher (Kapsel-Schrittmacher) sowie subkutaner ICDs (S-ICD) an.

Darüber hinaus stehen zur Behandlung der Herzinsuffizienz verschiedene moderne Therapie-Verfahren zur Verfügung. Neben der kardialen Resynchronisationstherapie (CRT) gibt es die kardiale Kontraktilitätsmodulation (CCM) und das Conduction-System Pacing (CSP).

Bei Neuimplantationen wie auch bei Eingriffen zum Gerätewechsel kommen moderne, MRT-taugliche Systeme zum Einsatz. Sämtliche Eingriffe können unter fortgesetzter (Marcumar) bzw. nur kurzfristig pausierter Antikoagulation (NOAKs, Pause ca. 24-48h) durchgeführt werden. Eine Überbrückung mit Heparin-Spritzen ist nicht notwendig!

Untersuchungsraum in der Ambulanz, Foto: Kliniken Köln

Herzschrittmacherambulanz

In unserer Schrittmacher-Ambulanz erfolgt die Nachsorge und Kontrolle von Schrittmacher- und ICD-Systemen von stationären Patienten sowie die erste ambulante postoperative Kontrolle nach 4-6 Wochen. Hierzu stehen morderne Abfrage-Geräte aller Geräte-Hersteller (Abbott, Biotronik, Boston Scientific, Medtronic, MicroPort) zur Verfügung.

Kontakt und Terminanfragen: +49 221 8907-18319

 

Ihre Ansprechpartner*innen

Dr. med. Anna Bonnert
Oberärztin/ Leitung der Sektion Device Therapie
Zusatzqualifikation Spezielle Rhythmologie- Teilbereich Aktive Herzrhythmusimplantate- der DGK          

Marie Kane
Fachärztin für Kardiologie

Dr. med. Orsolaya Puskas
Fachärztin für Kardiologie

Implantationen

Sondenloser Herzschrittmacher 

Hierbei handelt es um einen Mini- oder Kapsel-Herzschrittmacher (Medtronic Micra). Der sondenlose Einkammer-Schrittmacher wird als Impulsgeber direkt im Herzen (rechte Herzkammer) implantiert. Das gesamte Herzschrittmacher-System – bestehend aus Batterie, Elektronik und Kabel – ist in einer ca. 2cm kleinen Kapsel vereint.

Zugangsweg ist für gewöhnlich die rechte Leistenvene. Hierfür ist ein kleiner Hautschnitt und die Punktion der Leistenvene notwendig. Über eine Schleuse wird dann mittels eines speziellen Katheters die Schrittmacher-Kapsel direkt in die rechte Herzkammer vorgebracht und eingesetzt. Ein Kapsel-Schrittmacher kommt nur bei bestimmten Erkrankungen des Reizleitungssystems sowie Begleiterkrankungen in Frage.

Röntgen-Aufnahme eines Kapsel-Schrittmachers

Defibrillator (ICD)

Implantierbare Defibrillatoren (ICD) können lebensbedrohliche tachykarde Herzrhythmusstörungen, wie z.B. Kammerflimmern, erkennen und durch die Abgabe eines hochenergetischen elektrischen Impulses (Elektroschock) den plötzlichen Herztod verhindern. Viele ventrikuläre Tachykardien lassen sich auch ohne einen Schock mit Hilfe einer schmerzlosen Überstimulation (ATP) behandeln. Zusätzlich haben alle implantierbaren Defibrillatoren auch eine Schrittmacherfunktion und können über die einliegende Elektrode im Herzen das Herz stimulieren. Der operative Eingriff ist vergleichbar mit einer Herzschrittmacher-OP und wird unter örtlicher Betäubung und zusätzlicher Gabe von Beruhigungs- und Schmerzmitteln durchgeführt. Der Defibrillator ist etwas größer als ein normaler Schrittmacher. Die Lebensdauer eines ICD beträgt in der Regel 8-10 Jahre. Auch hier wird, wie bei Herzschrittmachern, auf den Einsatz MRT-fähiger Geräte geachtet.

Illustration eines Defibrillators, Foto: Silver Place/istock.com

Subkutaner ICD (S-ICD)

Hierbei handelt es um eine besondere Form des Defibrillators. Hier wird die Elektrode nicht im Herzen, sondern im Bereich des Brustbeins unter die Haut implantiert. Das Aggregat wird seitlich unterhalb der Achselhöhle in einer Muskeltasche eingesetzt. Da die Elektrode nicht im Herzen selbst eingesetzt wird, treten Komplikationen der Elektrode seltener auf. Der S-ICD eignet sich insbesondere für junge Patienten, die keine Schrittmacherfunktion benötigen, oder Patienten mit fehlenden Zugangsmöglichkeiten über die venösen Gefäße zum Herzen. Wir implantieren den S-ICD ebenfalls in örtlicher Betäubung und Analgosedierung (Gabe von Beruhigungs- und Schmerzmitteln) sowie unter Anwendung eines oberflächlichen Nervenblocks (Serratusblock).

Behandlung einer Herzschwäche (CRT/CSP/CCM)

Resynchronisationstherapie

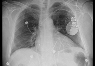
Neben der Leitlinien-gerechten medikamentösen Therapie kann bei Patienten mit Herzschwäche und insbesondere bei Vorliegen eines Linksschenkelblocks im EKG eine Resynchronisationstherapie (CRT) als Behandlungsoption in Frage kommen. Ziel dieser Therapie ist es, den zeitversetzten Kontraktionsablauf der Herzkammern durch die Stimulation über eine zusätzliche, dritte Elektrode zu korrigieren. Hierdurch kann man in bis zu 70% der Fälle eine Verbesserung der Pumpleitung des Herzens erreichen. Das CRT-Gerät wird auch als 3-Kammer-System bezeichnet und kann in Form eines reinen Schrittmachers (CRT-P) oder auch als Kombinationsgerät aus Defibrillator und Schrittmacher (CRT-D) zum Einsatz kommen.

Röntgen-Aufnahme des CRT-Gerätes

Conduction System Pacing – CSP (His-Bündel Stimulation, Linksschenkel-Stimulation)

Patienten mit Herzschwäche oder auch zu erwartendem hohen rechtsventrikulärem Stimulationsanteil (höhergradige AV-Blockierungen, geplante AV-Knotenablation) können evtl. von einer gezielten Stimulation des herzeigenen Reizleitungssystems profitieren (Conduction-System-Pacing – CSP). Hierbei wird das Schrittmacher-Kabel gezielt in einer Region implantiert, in der das eigene Reizleitungssystem des Herzens stimuliert wird (z.B. His-Bündel oder in der Herzscheidewand im Bereich des linken Faszikels). Der Ablauf der Implantation ist vergleichbar mit einer Herzschrittmacher-Implantation.

Kardiale Kontraktilitätsmodulation – CCM

Die kardiale Kontraktilitätsmodulation (CCM) stellt eine weitere Therapiemethode zur Behandlung der Herzschwäche dar. Das Prinzip der CCM basiert auf der Abgabe hochenergetischer Stromimpulse im Bereich der Herzscheidewand der rechten Herzkammer, die die Symptome der Herzschwäche verbessern können. Die Implantation eines CCM Gerätes ist vergleichbar mit einem Herzschrittmacher. Die Implantation erfolgt für gewöhnlich auf der rechten Brustseite. Das Aggregat muss regelmäßig (1x/Woche) über ein spezielles Aufladesystem unkompliziert und einfach aufgeladen werden.

CCM, Grafik: Impulse Dyniamcs

Implantierbare Ereignisrecorder (Eventrecorder) zur Erkennung von Rhythmusstörungen

Zur Abklärung von Herzrhythmusstörungen gehören das Ruhe-EKG sowie das Langzeit-EKG. In manchen Fällen reichen diese Untersuchungen jedoch nicht aus, wie z.B. bei unklaren Bewusstseinsverlusten oder bei Schlaganfällen ohne erkennbare Ursachen. Dann kann die Implantation eines Ereignisrecorders zur Erkennung einer Rhythmusstörung hilfreich sein. Diese Geräte können Rhythmusstörungen, insbesondere Vorhofflimmern, aufzeichnen und bei der weiteren Therapieentscheidung helfen. Der Eventrecorder wird über einen 5mm großen Hautschnitt in örtlicher Betäubung unter die Haut gebracht und kann bis zu drei Jahre die Herzaktionen überwachen.

Seite zuletzt aktualisiert am 17.09.2024